Thank you for writing to us. One of our executive will reach back to you through your submitted medium. In case there’s an urgency, feel free to connect over WhatsApp for faster response.
Prefer calling? Dial +9108042781449 (International callers) or 08042781449 (Indian callers).
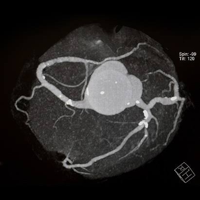
What is Cardiac calcium score test? #bestcardiologistinperambur #doIneedtotestmyheart
A cardiac calcium score test (also known as a coronary artery calcium (CAC) scan) is a non invasive CT scan that detects the calcified plaque in the coronary arteries. This score helps doctors determine a patient's10-year risk of a heart attack or stroke, especially if the patient has moderate risk factors but no symptoms.
The test is primarily recommended for adults aged 40–70 with a borderline or intermediate risk of heart disease. Key risk factors include:
Family history of early heart disease.
High cholesterol, high blood pressure, or diabetes.
Smoking history (past or present).
Obesity or a sedentary lifestyle.
The results are usually given as an Agatston score. Higher scores indicate more extensive plaque and a higher risk of cardiac events:
Score of 0: No detectable plaque; very low risk of heart attack in the next 2–5 years.
1–10: Minimal plaque; low risk.
11–100: Mild plaque; moderate risk.
101–400: Moderate plaque; significant risk of coronary artery disease.
Over 400: Extensive plaque; high risk of a heart attack.
Risks and Costs
Radiation: The test involves a low dose of radiation, roughly equivalent to what you naturally receive from the environment in one year.
Cost: The expense of the scan in high enough to limit it's widespread use
Limitation: The scan only detects hard (calcified) plaque. It cannot see "soft" plaque, which can also lead to heart attacks.
Bus Stand, Dr Antony's Cardio Diabetic Centre, 7/158, 15th street, Jagannathan Salai, opposite to Periyar Nagar, Periyar Nagar West, Perambur, Chennai, Tamil Nadu 600082
600082
Chennai
India
08042781449
Dr Antony's Cardio Diabetic Centre
https://www.drantonyscardiodiabeticcentre.com
0
True
Interventional Cardiologist
Diabetologist
General Consultation
Book Appointment
Fee Rs 400
In-clinic
Video Call
August 2023
Sun
Mon
Tue
Wed
Thu
Fri
Sat
Request Appointment
By clicking on ‘Send Request’, you choose to agree to our Terms & Conditions.
Slot Selected
06:00 PM - 06:30 PM
Holistic Package
Appointment Fee: INR 200INR 500
By clicking on ‘Send Request’, you choose to agree to our Terms & Conditions.