Thank you for writing to us. One of our executive will reach back to you through your submitted medium. In case there’s an urgency, feel free to connect over WhatsApp for faster response.
Prefer calling? Dial +9108042781449 (International callers) or 08042781449 (Indian callers).
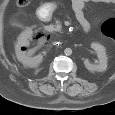
Emphysematous pyelonephritis (EPN) is a severe gas forming infection of renal parenchyma most commonly affecting Diabetic patients. It is a life-threatening, emergency condition caused by glucose-fermenting bacteria, typically E. coli, which results in rapid kidney destruction. Common symptoms include fever, abdominal pain, and septic shock
emphysematous pyelonephritis
+8
Emphysematous pyelonephritis (EPN) is
a severe, necrotizing, gas-forming infection of the renal parenchyma, most commonly affecting diabetic patients. It is a life-threatening, emergency condition caused by glucose-fermenting bacteria, typically E. coli, which results in rapid kidney destruction. Common symptoms include fever, abdominal pain, and septic shock.
Key Aspects of EPN
Risk Factors: Over 90% of cases occur in patients with diabetes mellitus, though it is also associated with urinary tract obstructions.
Clinical Presentation: Patients often present with acute pyelonephritis symptoms: high fever, flank pain, nausea, and vomiting. Severe cases may present with severe sepsis, confusion, or even subcutaneous crepitus.
Diagnosis: CT scanning is the preferred imaging modality to confirm the diagnosis, which shows gas within the renal parenchyma, collecting system, or surrounding tissues.
Classification: EPN is typically classified by severity (Class 1–4) based on the extent of gas spread on CT, ranging from confined to the parenchyma to extending beyond the renal fascia.
Treatment: While historically treated with emergency nephrectomy, current management favors a conservative approach: intensive medical therapy, broad-spectrum antibiotics, and early percutaneous drainage (PCD).
Prognosis: Mortality rates can be high (up to 12.5% or higher depending on severity), particularly if accompanied by complications like acute kidney injury or shock
Bus Stand, Dr Antony's Cardio Diabetic Centre, 7/158, 15th street, Jagannathan Salai, opposite to Periyar Nagar, Periyar Nagar West, Perambur, Chennai, Tamil Nadu 600082
600082
Chennai
India
08042781449
Dr Antony's Cardio Diabetic Centre
https://www.drantonyscardiodiabeticcentre.com
0
True
Interventional Cardiologist
Diabetologist
General Consultation
Book Appointment
Fee Rs 400
In-clinic
Video Call
August 2023
Sun
Mon
Tue
Wed
Thu
Fri
Sat
Request Appointment
By clicking on ‘Send Request’, you choose to agree to our Terms & Conditions.
Slot Selected
06:00 PM - 06:30 PM
Holistic Package
Appointment Fee: INR 200INR 500
By clicking on ‘Send Request’, you choose to agree to our Terms & Conditions.